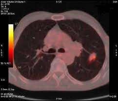
Can Lung Cancer Be Mistaken For Tuberculosis / Lung Cancer In The Time Of Covid 19 Challenges And Solutions Pulmonology Advisor / However, this can also occur with tuberculosis or a pulmonary embolism.
Dapatkan link
Facebook
X
Pinterest
Email
Aplikasi Lainnya
Can Lung Cancer Be Mistaken For Tuberculosis / Lung Cancer In The Time Of Covid 19 Challenges And Solutions Pulmonology Advisor / However, this can also occur with tuberculosis or a pulmonary embolism.. Tuberculosis germs don't thrive on surfaces. Concomitant active tuberculosis in nsclc (tblc) resembles locoregional immunotherapy of tumor cell vaccine; This growth can spread beyond the lung by the process of metastasis into nearby tissue or other parts of the body. Lung cancer and tuberculosis (tb). Lung cancer and pulmonary tuberculosis (tb) comorbidity is a clinical problem that presents a challenge for the diagnosis and treatment of both diseases.objective:
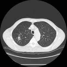
Pulmonary tuberculosis is caused by mycobacterium tuberculosis, which produces characteristic tuberculosis changes in the lung. Tuberculosis infection should be based on the reasons and the context for testing, test availability, and overall cost. Lung cancer, also known as lung carcinoma, is a malignant lung tumor characterized by uncontrolled cell growth in tissues of the lung. Tuberculosis is curable and preventable. Most lung cancers do not cause any symptoms until they have spread, but some people with early lung cancer do have symptoms.
Lung Cancer And Pulmonary Tb Youtube from i.ytimg.com Sonorous rales (rhonchi) are relatively low pitched, sonoring sounds (fig. Tuberculosis (tb) is a potentially serious infectious disease that mainly affects the lungs. The occurrence of pulmonary tuberculosis (ptb) and lung cancer as comorbidities has been extensively discussed in many studies. There is especially in countries with low tb incidence diagnostic challenges with risk of diagnosis getting missed. When people with lung tb cough, sneeze or spit, they propel the tb germs into the air. Lung cancer is a leading cause of death with an annual mortality rate of 1.59 million people, accounting for 19.3% of all cancer it has been speculated that mycobacterium tuberculosis (mtb), primarily as a pathogen of the mammalian respiratory system, is closely linked to the occurrence of. Tuberculosis (tb) is a contagious infection that usually attacks your lungs. Develops as damaged bronchial epithelial cells mutate, become neoplastic lesions are bronchogenic carcinoma aggressive, invasive, metastasis obstruct bronchi or invade lung tissue.
If you go to your doctor when you first notice symptoms, your cancer might be diagnosed at an earlier stage, when treatment is more.
Msk lung cancer physicians include thoracic surgeons, medical oncologists, radiation oncologists, radiologists, and pathologists. 90% of cases being attributable to smoking. This is one reason that it is among the most deadly of cancer groups. Another possibility is lateral gene transfer; Iteither enlargesas disease progresses or, much. It has recently become more common, and treatment is far from easy. Can lung cancer be found early? However, this can also occur with tuberculosis or a pulmonary embolism. There is especially in countries with low tb incidence diagnostic challenges with risk of diagnosis getting missed. Primary tuberculosis usually begins in childhood and affects the lungs and bronchial lymphatic glands of the lung roots. When people with lung tb cough, sneeze or spit, they propel the tb germs into the air. Tuberculosis is curable and preventable. Lung cancer is often divided into two types:
Symptoms are persistent cough, fever, sweats, and weight loss. Tuberculosis germs don't thrive on surfaces. Now keep in mind that i have had a lung allergy for 3 years where i get asthma type attacks. Concomitant active tuberculosis in nsclc (tblc) resembles locoregional immunotherapy of tumor cell vaccine; Others are asthma, chronic obstructive pulmonary disease, infections like influenza, pneumonia and tuberculosis, lung cancer, and many other breathing problems.
How Tuberculosis Is Diagnosed Everyday Health from images.everydayhealth.com Tuberculosis (tb) is a potentially serious infectious disease that mainly affects the lungs. The occurrence of pulmonary tuberculosis (ptb) and lung cancer as comorbidities has been extensively discussed in many studies. When people with lung tb cough, sneeze or spit, they propel the tb germs into the air. In the past, it was well known that lung cancer is a specific epidemiological successor of ptb and that lung cancer often develops in scars caused by ptb. Lung cancer is often divided into two types: Difference between lung cancer and tuberculosis. Tb disease most commonly affects the lungs and is referred to as pulmonary tb disease. Tuberculosis (tb) is caused by bacteria (mycobacterium tuberculosis) that most often affect the lungs.
Concomitant active tuberculosis in nsclc (tblc) resembles locoregional immunotherapy of tumor cell vaccine;
Tb disease most commonly affects the lungs and is referred to as pulmonary tb disease. Lung can suggest early symptom of tuberculosis). Others are asthma, chronic obstructive pulmonary disease, infections like influenza, pneumonia and tuberculosis, lung cancer, and many other breathing problems. Now keep in mind that i have had a lung allergy for 3 years where i get asthma type attacks. Primary tuberculosis usually begins in childhood and affects the lungs and bronchial lymphatic glands of the lung roots. In the past, it was well known that lung cancer is a specific epidemiological successor of ptb and that lung cancer often develops in scars caused by ptb. Lung cancer is most often discovered by mistake if it is detected in the early stages. Tuberculosis germs don't thrive on surfaces. Pulmonary tuberculosis is caused by mycobacterium tuberculosis, which produces characteristic tuberculosis changes in the lung. Concomitant active tuberculosis in nsclc (tblc) resembles locoregional immunotherapy of tumor cell vaccine; Lung cancer is only one of many diseases which we can contract in the lungs. Pleural effusion may develop in lung cancer, breast cancer, lymphoma, lymphogranulematosis, benign and malignant pleural mesothelioma, bacterial 3.2. The occurrence of pulmonary tuberculosis (ptb) and lung cancer as comorbidities has been extensively discussed in many studies.
Symptoms of tuberculosis and lung cancer are overlapping and it is difficult to differentiate without the histopathological report. This study compares the survival and immunological cell profile in tblc over nsclc alone. To clarify the clinical and survival characteristics of cases with both lung cancer and active pulmonary tb.design. In the past, it was well known that lung cancer is a specific epidemiological successor of ptb and that lung cancer often develops in scars caused by ptb. Lung cancer and tuberculosis (tb).
Https Encrypted Tbn0 Gstatic Com Images Q Tbn And9gcsfxsa2p8t0zknb80q Ojitzhythjonmrrrt5cftk14u17n3ui1 Usqp Cau from Sonorous rales (rhonchi) are relatively low pitched, sonoring sounds (fig. It is most commonly caused by aspiration of oral secretions by patients who have impaired consciousness. You can't get it from shaking hands with someone who has it or by sharing their food or drink. Lung cancer is most often discovered by mistake if it is detected in the early stages. Tuberculosis, a disease that used to be common in the uk and other western countries, was thought to have been successfully controlled when vaccination was introduced. Primary tuberculosis clinical forms the primary site of infection in the lungs is called the ghon focus. Iteither enlargesas disease progresses or, much. Lung cancer and tuberculosis (tb).
Another possibility is lateral gene transfer;
This study compares the survival and immunological cell profile in tblc over nsclc alone. Lung cancer, also known as lung carcinoma, is a malignant lung tumor characterized by uncontrolled cell growth in tissues of the lung. Pulmonary tb is caused by the bacterium mycobacterium tuberculosis (m tuberculosis). When people with lung tb cough, sneeze or spit, they propel the tb germs into the air. Lung cancer and pulmonary tuberculosis (tb) comorbidity is a clinical problem that presents a challenge for the diagnosis and treatment of both diseases.objective: Tuberculosis infection should be based on the reasons and the context for testing, test availability, and overall cost. Is it possible for the doctor to mistake a possible lung cancer for tb? Lung pathology of fatal severe acute respiratory syndrome. Sclc is characterized by its central location, rapid tumor. Tuberculosis (tb) and lung cancer are important global health threats, each accounting for 1.6 million deaths yearly. Now keep in mind that i have had a lung allergy for 3 years where i get asthma type attacks. Pulmonary tuberculosis is caused by mycobacterium tuberculosis, which produces characteristic tuberculosis changes in the lung. Tb is spread from person to person through the air.
Can You Make Two Credit Card Payments A Month - Credit Cards Vs Debit Cards Key Differences / You need two things in order to make this happen before you can accept credit cards you need to see if the integration between invoiceninja and 2checkout. . However, keep in mind, that if you only fortunately, there are several ways that you can avoid making late payments. For those who need to pay a credit card bill with a different card for financial reasons, there may be some indirect methods of making your payment. While making just the minimum payment on your credit card is an option, we don't recommend it. Making only the minimum payment on your credit card might seem easier with your current budget, but it can add years to how long it takes. You should make at least the minimum payment every month before the statement due date to avoid. The website of the bank which is your credit card provider this essentially means giving the bank instructions to debit your savi...
What Does Male Breast Cancer Look Like On Ultrasound / Male Breast Cancer India Pdf Ppt Case Reports Symptoms Treatment : Even the doctor did a double take when she came into the room to discuss the ultrasound results. . Breast cancer can develop in males and females, but due to differences in breast tissue, the disease is much less common in males. Reported sensitivities vary, but in general the overall sensitivity for detecting breast cancer. Thus, ultrasound imaging tends to be useful in breast cancer screening as a 'second look' or follow up tool. What does a breast cancer lump look like? Many cancers are not visible on ultrasound. Breast ultrasound is an imaging test that uses sound waves to look at the inside of your breasts. Breast cancer can develop in males and females, but due to differences in breast tissue, the disease is much less common in males. Does a lung mass mean you have cancer? The sound waves are too. Will a breast pump enhance a males ...
How To Make A Fake Green Card : Buy Hk Id Buy Hk Permanent Identity Card Make Fake Hk Id Buy Diploma Buy Degree Make Diploma Make Degree : Green card lottery fake resources 2019 how not to being catched by fraud? . Although you can generate fake card numbers with some tools, it is worth remembering that this information is invalid. How to sign up for prepaid card with fake name? How to open navy federal business account to get $25k credit card for bad credit no income 2021? In addition, it also makes it harder on all the good people who want to get a green card the right way who have a. Make your next car an electric one. How does a virtual credit card generator work? All you need to do is enter the credit card number on the field where it asks and click on the green button to check on it. With many apps for creating card numbers available, you can make your own fake vcc numbers and use them to protect your financial data on websites that you don't completely tru...
Komentar
Posting Komentar